chinese

看完 14 个病例,一起来认识这个表现多样的 Rathke’s囊肿

位于鞍内,可圆可方,可大可小,可高可低,可胖可瘦,内心丰富,但始终如一,你猜是什么?


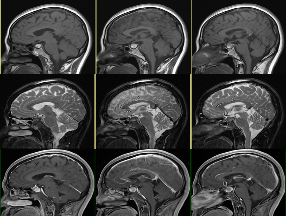
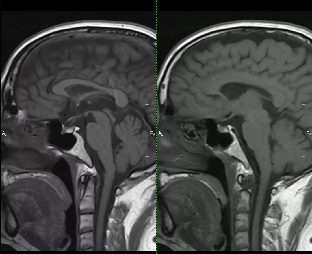
case 1: f/63y 头痛

看完 14 个病例,一起来认识这个表现多样的 Rathke’s囊肿

T1WI 示垂体内高信号病变,增强无强化,左侧鞍旁脑膜瘤


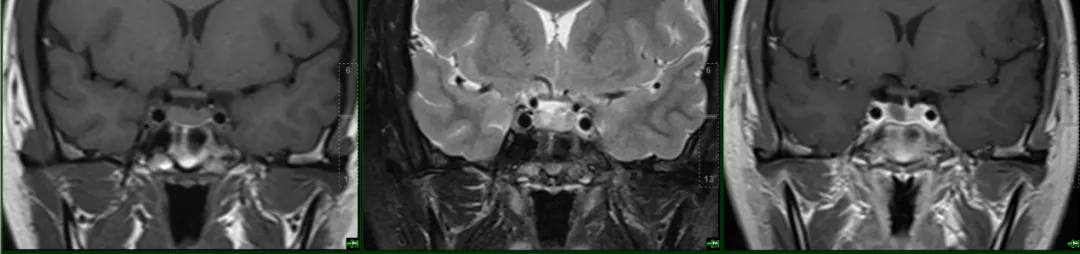
case 2: f/46y24042 头痛

看完 14 个病例,一起来认识这个表现多样的 Rathke’s囊肿

等 T1WI、等 T2WI 伴内低信号结节


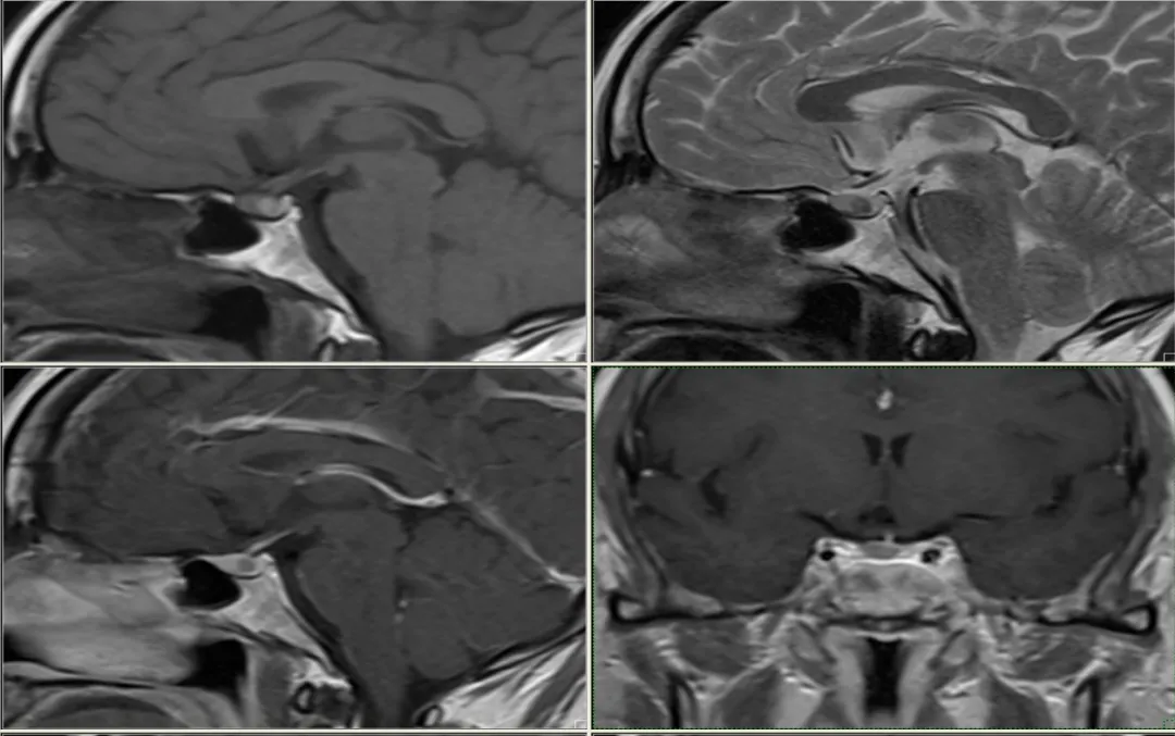
case 3: f/34y 头晕 2 天入院,既往植物神经功能紊乱病史 2 年

看完 14 个病例,一起来认识这个表现多样的 Rathke’s囊肿

T1WI 高 T2WI 低信号病变


看完 14 个病例,一起来认识这个表现多样的 Rathke’s囊肿

T1WI 示垂体内高信号病变,增强无强化


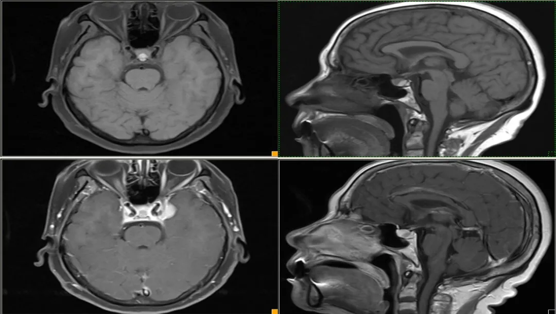
case 4: M53Y,急性起病, 间断头痛 3 天

看完 14 个病例,一起来认识这个表现多样的 Rathke’s囊肿

矢状位 T2WI 示:高信号囊肿和其内低信号结节


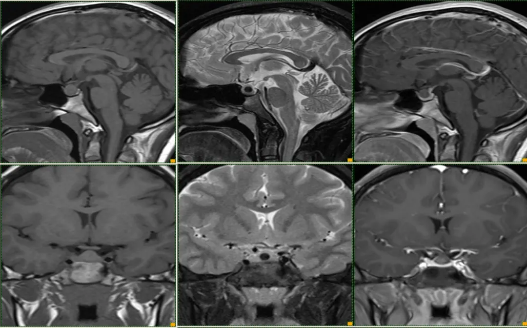
case 5:m/52y

看完 14 个病例,一起来认识这个表现多样的 Rathke’s囊肿

T1WI 示垂体内高信号病变,位于正常 T1WI 高信号的神经垂体前方


case 6:m/57y 眩晕反复发作

看完 14 个病例,一起来认识这个表现多样的 Rathke’s囊肿


case 7:M/49y 头晕 3D

看完 14 个病例,一起来认识这个表现多样的 Rathke’s囊肿

T1WI 高、T2WI 等信号结节,增强未见强化


case 8:F/56Y 头晕 1y

看完 14 个病例,一起来认识这个表现多样的 Rathke’s囊肿


case 9:女,28y,头晕头痛

看完 14 个病例,一起来认识这个表现多样的 Rathke’s囊肿

看完 14 个病例,一起来认识这个表现多样的 Rathke’s囊肿


case 10:偶然发现,无症状,10 年后再次检查发现病灶消失

看完 14 个病例,一起来认识这个表现多样的 Rathke’s囊肿


case 11:正常垂体位于囊肿下方——「杯中卧蛋」征

看完 14 个病例,一起来认识这个表现多样的 Rathke’s囊肿


case 12:m/46y,无症状,偶发

看完 14 个病例,一起来认识这个表现多样的 Rathke’s囊肿

垂体柄前方及中间部见两个 T1WI 等 T2WI 压脂低信号,增强无强化


case 13:

看完 14 个病例,一起来认识这个表现多样的 Rathke’s囊肿

小条状 T1WI 高 T2WI 压脂略低增强无强化


case 14:女,39 Y

看完 14 个病例,一起来认识这个表现多样的 Rathke’s囊肿

看完 14 个病例,一起来认识这个表现多样的 Rathke’s囊肿

看完 14 个病例,一起来认识这个表现多样的 Rathke’s囊肿

看完 14 个病例,一起来认识这个表现多样的 Rathke’s囊肿

冠状位扁平,呈「蝴蝶结」状改变


Rathke’s 囊肿,一种先天性发育异常,又称垂体囊肿或垂体胶样囊肿等。起源于胚胎时 Rathke 裂残留的非肿瘤性囊肿。鞍内良性内胚层来源的囊肿,内衬具有粘液分泌功能的纤毛上皮细胞。常发生于成人,男女发病率无差别。


临床症状:增大,对周围结构产生压迫作用(垂体、垂体柄、视交叉)有症状的仅占脑内原发肿瘤样病变的 1%,常表现为视野缺损,视力下降、垂体功能异常、尿崩症等。


影像表现:


  • 不强化、无钙化、伴囊内结节的蝶鞍内和(或)鞍上囊肿

  • 完全位于蝶鞍内 40%,延伸至鞍上占 60%

  • 密度或信号强度因囊肿内成分(浆液、黏液)不同而不等

  • 大多数症状性 RCC 直径为 5-15 mm

  • 偶见巨大型

  • 爪征 = 边缘强化的受压垂体包绕无强化的囊肿

  • 囊肿内无强化


MRI 表现:


  • 最常见 长 T1WI、长 T2WI;其次为短 T1WI、长 T2WI

  • 其它,等 T1WI、等 T2WI,等 T1WI、长 T2WI,等 T1WI、短 T2WI


囊肿信号变化与囊内容物(蛋白质、粘多糖、胆固醇等)有关。

主要成分:胆固醇、蛋白质及部分脱落的细胞碎屑。


case 15:一年半前偶然发现,无明显症状,怀疑垂体瘤卒中,服用过一段时间溴隐亭,后经北京天坛医院诊断 Rathke 囊肿后后停药,现复查较前片无变化。


看完 14 个病例,一起来认识这个表现多样的 Rathke’s囊肿

看完 14 个病例,一起来认识这个表现多样的 Rathke’s囊肿

形态信号异常,与垂体瘤卒中难以鉴别,但与患者既往检查片比较无异常改变,遂考虑囊肿可能


T1WI 高信号症状性 RCC 与出血性垂体瘤卒中鉴别:


  • 冠状面对称、体积较小、信号均匀、增强边界光滑清晰、囊内结节提示→RCC。

  • 体积大,冠状面不对称、信号不均匀、增强边界毛糙、鞍旁结构受侵、分隔征、液液平面征则提示→垂体瘤卒中。


case 16:男,38y ,偶然发现

看完 14 个病例,一起来认识这个表现多样的 Rathke’s囊肿

看完 14 个病例,一起来认识这个表现多样的 Rathke’s囊肿

延迟强化,垂体微腺瘤 


case 17:f/59y

看完 14 个病例,一起来认识这个表现多样的 Rathke’s囊肿

看完 14 个病例,一起来认识这个表现多样的 Rathke’s囊肿


强化高峰出现较正常垂体腺晚,在团注造影剂后 3 min 内为最佳时间。强化持续时间长,必要时延迟扫描,延迟期肿瘤较垂体腺显著强化,信号高于正常垂体腺。动态强化很有必要。


看完 14 个病例,一起来认识这个表现多样的 Rathke’s囊肿


小结:先天发育异常。多位于鞍内、形态多规则、MRI 信号多样,特征性表现—囊内小结节,囊肿本身无强化。


鉴别诊断:


  • 囊性颅咽管瘤 儿童鞍上多见,形态不规则、分叶,囊壁钙化,囊内信号不均匀,囊壁强化,实性成分。

  • 蛛网膜囊肿 脑脊液信号,邻近颅骨受压变薄,无强化

  • 垂体脓肿 鞍区囊状病灶,垂体柄增粗,长 T1WI 长 T2WI,增强环样强化,临床尿崩症+发热+白细胞增高

  • 垂体微腺瘤伴瘤内出血,不易鉴别,定期随访,如果数月后仍然表现为高信号,可认为是 Rathke’s 囊肿。



本文来源:影像时间


原文链接:https://www.toutiao.com/i6932657736899379724/?tt_from=weixin&utm_campaign=client_share&wxshare_count=1&timestamp=1614147402&app=news_article&utm_source=weixin&utm_medium=toutiao_ios&use_new_style=1&req_id=202102241416420101351491604904C671&share_token=52FE79B5-0702-461F-8337-C88A581DBAA9&group_id=6932657736899379724


【声明】本平台转载并注明其来源的稿件,是本着为读者传递更多信息的目的,不代表赞同其观点或立场,版权归原作者与原作者出处,如涉及侵权,请及时联系我方删除。