chinese

小心误诊,这可不是单纯的脑萎缩!

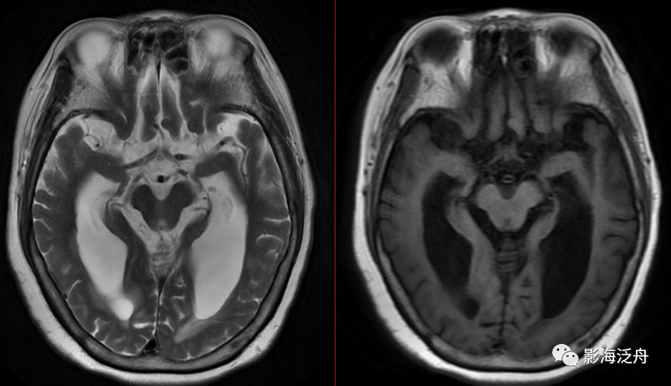
患者,女,68岁,4天前无明显诱因出现头痛头晕伴走路不稳,症状呈持续性,能耐受,休息后无缓解,伴反应迟钝,无恶心呕吐,无肢体活动障碍,无口齿不清等不适。既往小便失禁1年余,否认高血压、糖尿病、肿瘤史。否认食物、药物过敏史。神经系统查体巴氏征可疑阳性,余无殊。为进一步明确诊断,行颅脑MR平扫+增强检查,影像资料如下↓↓↓


小心误诊,这可不是单纯的脑萎缩

小心误诊,这可不是单纯的脑萎缩

小心误诊,这可不是单纯的脑萎缩

小心误诊,这可不是单纯的脑萎缩

小心误诊,这可不是单纯的脑萎缩

小心误诊,这可不是单纯的脑萎缩


结合患者的临床表现及影像资料,您诊断什么?脑萎缩伴脑积水?这个只能算是单纯的影像学诊断,无法解释患者的临床表现,对于临床治疗更没有什么参考价值。那应该考虑什么?住院后患者经过脑脊液放液治疗,上述症状明显改善,诊断为正常压力脑积水。


正常压力性脑积水

概念及分类


正常压力脑积水(normal pressure hydrocephalus,NPH)又称可逆性痴呆,是脑积水的一种特殊类型,特征性表现为典型的临床三联征:步态不稳、认知障碍、尿失禁。同时脑脊液压力在正常范围内(70~200mmH2O)。


小心误诊,这可不是单纯的脑萎缩


按发病原因可分为原发性和继发性:继发性NPH通常与脑血管病(如脑出血、脑梗死等)、头颅外伤、颅内感染等因素相关;原发性NPH(idiopthic NPH,iNPH)则缺乏明确病因,由于iNPH多发生于老年人,此类患者常合并脑室扩大、脑沟增宽等脑萎缩改变,因此稍不留神就容易被误诊为一般性脑萎缩(老年脑)。


NPH患者,尤其是iNPH患者,在发病初期经过脑室分流术治疗,痴呆症状是可以完全恢复的,而被误诊成一般性脑萎缩(如帕金森、阿尔茨海默症等)进行错误治疗将会错过最佳治疗时机而导致不可逆性脑损伤。因此,作为影像科诊断医生非常有必要学习和掌握本病的诊断要点!


影像学表现


MRI是诊断NPH的主要影像学检查手段。文献中关于NPH影像特点的描述主要包括以下几个方面:


①间质性脑水肿表现(需要排除交通性及梗阻性脑积水);

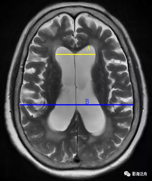
②Evan指数>0.3;

③DESH征:即蛛网膜下腔不成比例扩大性脑积水。


小心误诊,这可不是单纯的脑萎缩


尽管脑脊液压力正常,但NPH患者的脑积水程度进行性加重,因此常可见到间质性脑水肿表现(红箭头),这种间质性脑水肿在LAIR序列上表现为沿侧脑室均匀分布的带状高信号,与脑白质疏松有较大区别。


小心误诊,这可不是单纯的脑萎缩


Evan指数>0.3:即两侧侧脑室前角之间的最大距离(黄线)与同层面颅腔的最大横径(蓝线)之比>0.3。


小心误诊,这可不是单纯的脑萎缩


笔者认为Evan指数的可靠性有待商榷,如上图,NPH患者的Evan指数甚至还要略小于脑萎缩患者。因此,把Evan指数作为诊断NPH的必要不充分条件比较合适。


小心误诊,这可不是单纯的脑萎缩

小心误诊,这可不是单纯的脑萎缩

小心误诊,这可不是单纯的脑萎缩


DESH征:如图所示,NPH患者颅顶部以及颅后部(主要包括额叶后部、顶叶及部分颞枕叶)的脑沟(红箭)并无明显增宽,而其余脑叶的脑沟明显增宽,即“不均匀/不对称性脑萎缩”。注意观察,脑萎缩患者的各个脑叶的脑沟呈一致性扩大、加深改变。


小心误诊,这可不是单纯的脑萎缩


黄色圈注部分脑叶的脑沟无加深、增宽改变,与其前方增宽、加深的脑沟形成鲜明对比,此表现即为DESH征。


小心误诊,这可不是单纯的脑萎缩


在冠状位增强图像上,可以看到NPH患者的侧脑室体部、颞角、第三脑室以及外侧裂池明显扩大,乍一看确实有点老年脑的意思,但仔细观察可以发现NPH患者颅顶部脑叶的脑沟(红箭头)相较于正常人(绿箭头)反而变浅,这明显不符合一般性脑萎缩改变。同时注意,本例NPH患者的双侧海马萎缩并不明显。


小心误诊,这可不是单纯的脑萎缩


NPH患者的双侧侧脑室后角之间的夹角(红虚线)明显要小于一般性脑萎缩患者。一般性脑萎缩由于各个脑叶脑实质体积缩小,而颅腔体积固定,这就需要其它组织(扩大的侧脑室和脑沟裂)来填充多余的空间,相当于脑室旁脑组织产生一种外力把两侧的侧脑室向外牵拉(负占位效应),从而导致侧脑室后角的夹角扩大;NPH首先是脑室积水扩张,而脑实质体积一定, 相当于脑室旁脑组织产生一种外力把两侧的侧脑室向内挤压(占位效应),导致NPH患者的侧脑室后角夹角缩小。


小心误诊,这可不是单纯的脑萎缩


左侧颞枕叶软化灶形成的负占位效应导致同侧侧脑室后角明显扩大,形似脑积水,但侧脑室周围并无间质性脑水肿改变。


NPH临床及影像特点总结:


1. 临床三联征:认知障碍、步态不稳、尿失禁。

2. MR上首先表现为间质性脑积水;

3. Evan指数>0.3(必要不充分条件);

4. DESH征;

5. 双侧侧脑室后角之间的夹角缩小。



本文来源:影海泛舟


原文链接:https://www.toutiao.com/i6924474963269370379/?tt_from=weixin&utm_campaign=client_share&wxshare_count=1&timestamp=1613618469&app=news_article&utm_source=weixin&utm_medium=toutiao_ios&use_new_style=1&req_id=2021021811210901013516821927C17EC7&share_token=E72B722A-6BAA-424E-8DBF-7E7882604237&group_id=6924474963269370379


【声明】本平台转载并注明其来源的稿件,是本着为读者传递更多信息的目的,不代表赞同其观点或立场,版权归原作者与原作者出处,如涉及侵权,请及时联系我方删除。