chinese

长达4个月的右下肺反复感染和咳金黄色痰,最终确诊是什么?

引言


这是一例67岁的女性患者,反复右下肺感染,抗感染效果时好时坏,反复减轻和加重,病情进行性加重,并伴长期咳大量金黄色痰,真凶是什么?本文带你逐步深入,破解谜案,寻找真凶。


妇女莫名出现午后中低热,咳嗽咳痰,抗感染体温仍反复……是什么关键点让我们对病人的诊断存疑?


这个患者是67岁的家庭妇女。主诉因「反复发热、咳嗽、咳痰伴气促4月余」入院。4个多月前,患者无诱因出现「午后中低热,伴恶心、呕吐,纳差,无寒战,无腹痛、黄疸」。就医后抗感染治疗,但体温仍反复,并出现咳嗽、咳黄痰,约400-500ml/天,伴活动后气促。患者不能平卧,并且喜右侧卧位,晨起或夜间平卧时痰液较多,在当地诊所间断抗感染(头孢类、罗红霉素)治疗无好转,并逐渐加重。1个月前,于当地一所三甲医院就诊。24天前的胸部CT检查提示为「右肺中下叶及中叶内侧段可见斑片影,边界不清,其内可见支气管征,肝右前叶上段可见一团片状稍低密度」(图1)。


长达4个月的右下肺反复感染和咳金黄色痰,最终确诊是什么?

图1:2012年1月13日外院胸部CT提示「右肺中下叶及中叶内侧段可见斑片影,边界不清(粗箭头所示)。肝右前叶上段可见一团片状稍低密度影,其中心为更低密度,增强扫描病灶中心未见强化,周围可见直径约1.5cm的环形强化」(细箭头所示)。


患者的入院诊断为右下肺炎,分别给予「头孢哌酮/他唑巴坦、亚胺培南、万古霉素+奥硝唑、莫西沙星+阿米卡星」抗感染治疗1月,患者病情有好转,痰量减少至100-200ml/天,仍为黄色痰液,气促减轻,但仍反复发热。7天前复查胸部CT提示病灶变化不大(图2)而转入我院。


长达4个月的右下肺反复感染和咳金黄色痰,最终确诊是什么?

图2:2012年1月31日外院胸腹部CT:右肺中下叶及中叶内侧段可见斑片影,磨玻璃状影,边界不清,其内可见支气管征(粗箭头所示)。肝右前叶上段可见一团片状稍低密度影,增强扫描病灶中心未见强化(细箭头所示)。


我们了解该患者的既往史发现患者有糖尿病病史2年,未正规治疗。2年前曾因胆道梗阻行胆囊切除及胆肠吻合术。个人史、婚育史、家庭史均无特殊。


查体情况为:T 36.8℃,BP 135/80mmHg,神清,半卧位,呼吸平稳,轻度贫血貌,无皮疹,双肺呼吸音稍低,右下肺可闻及少许湿鸣音及哮鸣音,心率100次/分,心脏无杂音,腹部柔软,无压痛、反跳痛及肌紧张,双下肢无水肿。


辅助检查情况为:24天前的胸部CT提示「右肺中下叶及中叶内侧段可见斑片影,边界不清,其内可见支气管征,肝右前叶上段可见一团片状稍低密度影」(见上图1)。7天前复查胸部CT提示病灶变化不大(见上图2)。


入院诊断:

1、右下肺病变待查:1)肺炎可能性大 2)肺结核?3)肺癌?

2、肝内病变待查:肝脓肿?肝癌?

3、2型糖尿病

4、电解质紊乱


患者入院后,查血白细胞及中性粒细胞均正常,肝功提示ALP、γ-GT轻微升高,胆红素、肝酶正常。血肌酐215ummol/l,血钾、血钠、血氯轻微下降。降钙素原、CRP、ESR均升高,动脉血PO2 66mmHg,痰培养阴性,大小便常规正常。入院后给予静脉用莫西沙星注射液400mg/d治疗5日,但体温仍逐渐上升至39.6摄氏度,伴畏寒,行血培养,支气管肺泡灌洗液(BAL)送培养。


住院第6日血培养及BAL培养结果均为大肠埃希菌生长,据药敏调整为静脉用头孢吡肟4g/d抗感染治疗。调整药物治疗后患者体温逐渐正常,痰量减少,量约50ml/天,但仍呈黄色,精神食欲好转。入我院后复查胸部CT提示:右肺下叶大片状炎症,与外院对比无变化;肝脏稍大,肝脏近膈面处类圆形环形强化灶,考虑炎症可能性大,肿瘤待排;胆囊显示欠清,肝内胆管稍扩张(图3)。


长达4个月的右下肺反复感染和咳金黄色痰,最终确诊是什么?

图3:2012年2月10日我院胸部CT:右肺下叶大片状炎性阴影(图➀箭头);肝脏稍大,肝脏近膈面处类圆形环形强化灶,考虑炎症可能性大,肿瘤待排(图➁箭头);右肺底病灶与膈肌、肝脏病变解剖关系紧密(图➂箭头)。


此时,我们需要进一步检查及鉴别:尽管患者病情好转,体温正常,痰量减少,支持肺炎,但我们仍对该病人诊断存有诸多疑问。首先,患者右下肺为何反复发生肺炎且难治愈?是否右下肺有特殊病变?但胸部CT等检查仅发现炎性浸润,未见肿瘤、异物等易致阻塞性肺炎的病灶;其次,血培养、BAL培养为大肠埃希菌,该菌多见于消化系或泌尿系感染,肺内感染该病原菌从何而来?是否与消化系统有关?但患者并无胃食道反流,是否有其它来源?患者起病时痰量非常大,性状特殊,呈金黄色稀薄泡沫样,似胆汁(图4),是否确为胆汁?如果是,来源于何处?右下肺底病变紧贴膈面,而CT显示肝脏近右侧膈面处有类圆形环形强化灶,肺部病灶与肝脏病变之间解剖位置紧密,是否有相关性?如果金黄色痰液来自于此,确是胆汁,是否存在肝脏(胆管)-支气管瘘?


长达4个月的右下肺反复感染和咳金黄色痰,最终确诊是什么?

图4:入院后患者咳出的金黄色胆汁样稀薄泡沫样痰液,静置后分层,上层为泡沫,下层为胆汁,化验痰液为碱性,胆色素检查阳性。


谜底揭开,原来是2年前胆道手术导致胆管狭窄梗阻,2年后又患胆管恶性肿瘤,局部浸润侵犯,逐步进展破溃穿透膈肌,胆汁只能逆向反流,导致反复肺部感染……缘何这种「获得性胆管支气管瘘」感染会被漏误诊4个月之久?


带着这些疑问,我们进一步完善了相关检查。将痰液送检胆红素,结果显示胆红素显著升高,这一结果印证了我们的推测,金黄色痰液就是胆汁,高度提示存在胆管-支气管瘘可能。为进一步确证,行磁共振胰胆管成像(MRCP)检查提示「肝右叶近膈面处异常信号,考虑感染,肝脓肿可能性大,累积膈肌,并与右下肺相通,肝右叶下极大片异常信号,考虑肝癌可能,部分肝内胆管稍扩张」(图5)。


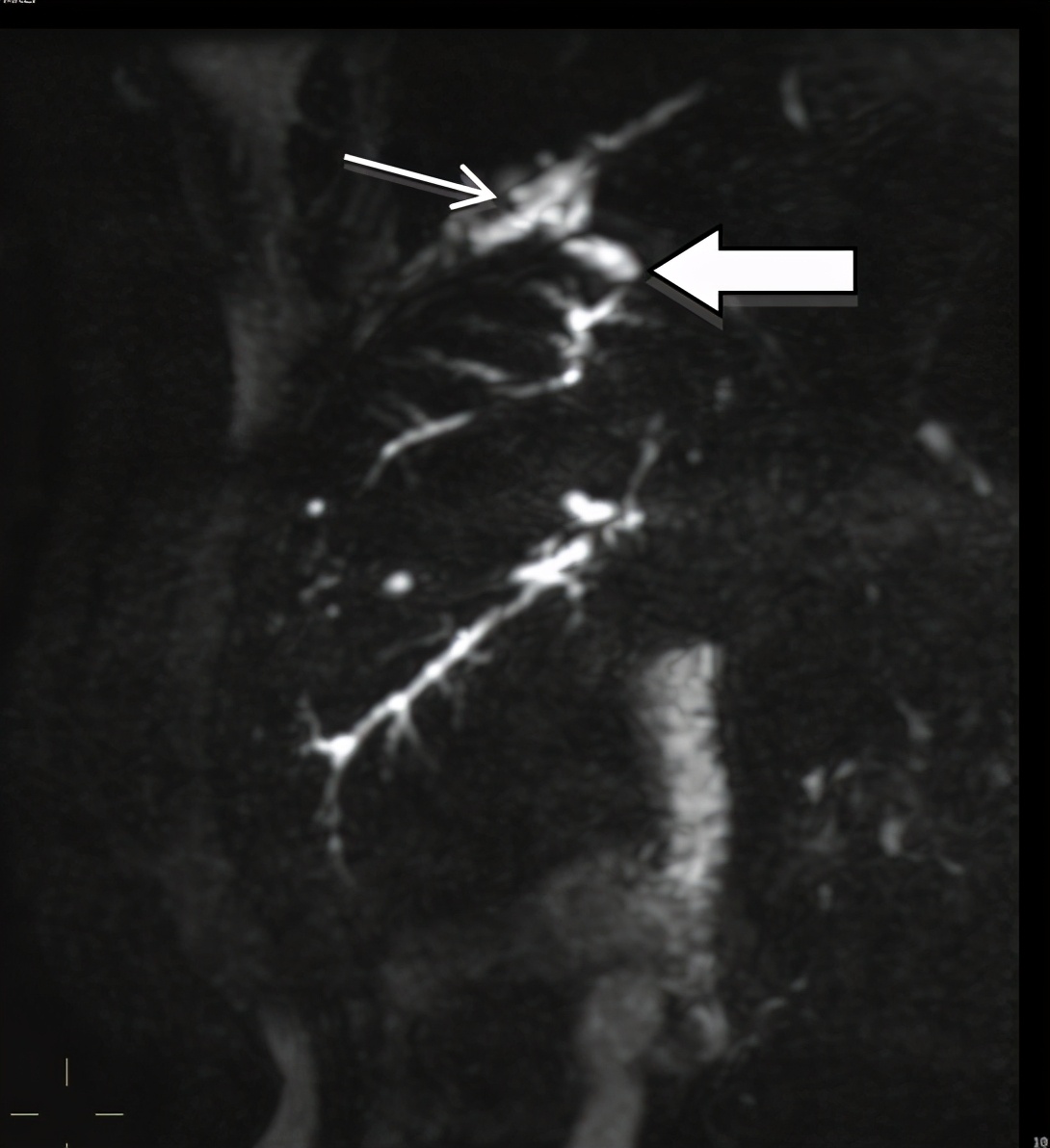
长达4个月的右下肺反复感染和咳金黄色痰,最终确诊是什么?

图5:2012年2月21日我院MRCP:肝右叶近膈面处异常信号(粗箭头处),考虑感染,肝脓肿可能性大,累积膈肌,并与右下肺(细箭头处为支气管树)相通。


根据这些检查结果,我们立即请相关科室会诊,会诊结果考虑胆管-支气管瘘、肝脓肿、肝癌可能,转入肝胆外科行手术探查和治疗。术中描述为「肝脏第8段与膈肌间致密的粘连紧密,粘连带较宽形成索状,约4.0cm宽,2.0cm厚,分离后见其内有0.4cm粗的管道,向上通过膈肌入胸腔,向下进入肝组织,肝右后叶第6段处有2.0*2.0*2.0cm的结节」。术中分离出粘连带后行8字缝合并修复膈肌,切除肝右后叶,病检为胆管细胞癌。


因此,患者最终诊断:

1、败血症;2、胆管-支气管瘘;3、右下肺炎;4、2型糖尿病;5、糖尿病肾病 慢性肾功能不全;6、肝胆管细胞癌


总结


胆管-支气管瘘(biliary-bronchial fistula,BBF)通常发生在先天发育异常或者胸腹联合型创伤之后,也是一种极罕见的胆道疾病并发症, 这种类型的BBF也被称为获得性BBF,继发于因手术、肿瘤、结石引起的胆道梗阻[2]或肝脏局部的感染性疾病(如包虫囊肿或阿米巴肝脓肿)[3,4]。发病机制均为胆管阻塞引起的局部炎症,随着感染发展形成肝脓肿,最后破裂进入胸膜腔和肺[5]。本文所报道这例病人就属于获得性BBF,2年前的胆道手术导致胆管狭窄梗阻,2年后又患胆管恶性肿瘤,局部浸润侵犯,继发感染,逐步进展破溃穿透膈肌进入肺内。由于胆管梗阻,窦道的存在使肝细胞分泌的胆汁在压力的驱使下返流向支气管内,持续流入的胆汁对支气管、肺产生化学性损伤,并继发细菌感染,导致经久不愈的肺炎,甚至肺脓肿。特征性症状包括发热、咳大量胆汁样的痰液。该例病人就是以反复发热和持续咳黄色稀薄类似胆汁样的痰液为首发表现。由于胆汁样痰液还存在于镰状细胞病的患者和自身免疫性溶血性贫血的患者[6],当排除这两种疾病后,胆汁样痰液就是胆管-支气管瘘患者特异型的表现[7]。


胸腹部的影像学检查可以提供进一步的诊断依据,既往胸腹部平片或超声能提供初步的诊断依据,近年来胸腹部薄层CT或对比增强核磁共振提供良好的无创检查手段,更好地显示肝脏、膈肌、肺的关系,尤其是MRCP还能显示扩张的胆管和提供功能方面的信息。随着微创检查技术的开展,经皮逆行胰胆管造影(ERCP)可以展示瘘管的走行和确定远端胆道梗阻的情况[8],但该项操作目前更多地的是应用于治疗。


本例患者尽管在起病初期就有大量黄色痰液的出现,但未能引起临床医生的重视,导致误漏诊达4月之久,病人长期住院,并反复给予抗感染治疗,同时胆管癌亦未能及时得到诊断,患者持续感染,逐渐衰竭。分析原因应为该病比较罕见,临床医生对性状奇特的金黄痰和胆管-支气管瘘缺少认识,误认为是肺部感染所致黄脓痰而导致长期误漏诊。说明临床医师对痰液性状的认识和分析非常重要,遇到有特殊性状的痰液一定要拓宽临床思维并分析其来源。


当地医院CT上已经显示与下肺病变部位紧密相邻的肝脏存在炎症样病变,但也未能引起临床医生重视,未能将二者有机联系,按「用一个疾病解释的」原则进行分析,也是导致误漏诊的重要原因。临床上对于难于用常规肺炎进行解释的长期、持续、反复发生的肺炎,不应只是简单地更换抗生素反复地抗感染治疗,而一定要去分析肺炎持续难愈的根本原因,并特别注意局部和周围脏器是否存在特殊病变,以及这些病变之间是否存在有机联系。总之,临床上出现了类似于胆汁的黄色稀薄泡沫痰,肺部炎性样病变紧贴膈面,或出现了类似于胆汁的黄色胸液,就要考虑到胆管-支气管瘘或胸膜瘘的可能。


参考文献:

[1] Peacock TB. Case in which hydatids were expectorated and one of suppuration of hydatid cyst of the liver communicating with the lungs. Edinburgh Med J 1850; 74: 33-46

[2] Wei WI, Choi TK, Wong J, Ong GB: Broncho- biliary fistula due to stones in the biliary tree: Report of two cases. World J Surg 1982;6:782– 785.

[3] Amir Jahed AK, Sadrich M, Farpour A, et al: Thoracobilia: A surgical complication of hepatic echinococcosis and amebiasis. Ann Thorac Surg 1972:14:198–205.

[4] Borrie J, Shaw JHE: Hepatobronchial fistula caused by hydatid disease. The Dunedin Experience 1952–79. Thorax 1981;36:25–28.

[5] Adams HD: Pleurobiliary and bronchobiliary fistulas. J Thorac Surg 1955;30:255–264.

[6] Sutherland RD, Reynold J, Sugg WL: Bile ptyalism associated with chest trauma and sickle cell crisis simulating bronchobiliary fis- tula. Ann Thorac Cardiovasc Surg 1972;13: 537–542.

[7] Eryigit H, Oztas S, Urek S, Olgac G, Kurutepe M, Kutlu CA. Management of acquired bronchobiliary fistula: 3 case reports and a literature review. J Car diothorac Surg 2007;2:52.

[8] Aduna M, Larena JA, Martin D, Martinez-Guereñu B, Aguirre I, Astigarraga E. Bile duct leaks after laparoscopic cholecystectomy: value of contrast- enhanced MRCP. Abdom Imaging 2005;30:480-7.


长达4个月的右下肺反复感染和咳金黄色痰,最终确诊是什么?


长达4个月的右下肺反复感染和咳金黄色痰,最终确诊是什么?



本文采写:冬雪凝


原文链接:https://www.toutiao.com/i6921659658407035395/?tt_from=weixin&tt_from=weixin&utmhttps%3A%2F%2Fwww.toutiao.com%2Fitem%2F6921659658407035395%2F%3Fapp=news_article&wxshare_count=1&utm_campaign=client_share&timestamp=1611583749&timestamp=1611583749&app=news_article&utm_source=weixin&utm_source=weixin&utm_medium=toutiao_ios&utm_medium=toutiao_ios&use_new_style=1&use_new_style=1&req_id=202101252209090100260770760E1486B0&req_id=202101252209090100260770760E1486B0&share_token=EAF89DFB-CD82-4381-8DCB-0822AC2B4740&share_token=EAF89DFB-CD82-4381-8DCB-0822AC2B4740&group_id=6921659658407035395&group_id=6921659658407035395


【声明】本平台转载并注明其来源的稿件,是本着为读者传递更多信息的目的,不代表赞同其观点或立场,版权归原作者与原作者出处,如涉及侵权,请及时联系我方删除。