chinese

一个病例,让你深刻理解什么是异病同影

患者女,60岁,既往有高血压(入院血压151/89mmHg),2月前单位体检时发现左顶部占位,大小约1×2cm,偶有头痛,程度不剧,无呕吐抽搐,无肢体活动障碍,无明显视物模糊等症状,为进一步手术治疗,行MR检查,影像资料如下 ↓↓↓


一个病例,让你深刻理解什么是异病同影

一个病例,让你深刻理解什么是异病同影

一个病例,让你深刻理解什么是异病同影

一个病例,让你深刻理解什么是异病同影

一个病例,让你深刻理解什么是异病同影

一个病例,让你深刻理解什么是异病同影

一个病例,让你深刻理解什么是异病同影

一个病例,让你深刻理解什么是异病同影

一个病例,让你深刻理解什么是异病同影

一个病例,让你深刻理解什么是异病同影


从图中可以看到病灶位于脑外,CT平扫呈稍高密度,边界清晰,灶周水肿不明显,邻近颅骨无破坏征象,MR平扫T1WI及T2WI序列均呈等信号,弥散无受限,FLAIR呈高信号,增强后呈均匀明显强化,并能看到非常典型的脑膜尾征——这不是典型的脑膜瘤吗?


要不再回头看看,哪里有些不对劲?


还没看出来的话,咱就直接开了:


答案是——静脉瘤。


分析与思考


这个病例的神奇之处在于它几乎非常完美地模拟了脑膜瘤的典型影像表现,譬如脑膜尾征、CT平扫高密度、MR平扫等信号等等,稍不留神就会误诊为脑膜瘤。但狐狸终究还是会露出自己的尾巴,下面逐个序列分析。


一个病例,让你深刻理解什么是异病同影

一个病例,让你深刻理解什么是异病同影


事实上,静脉血的流速已经很低了,但静脉瘤相当于静脉局部的膨大和扩张,从而导致此处的血流速度进一步降低,且不容易形成明显的湍流(这与动脉瘤不同),所以病灶可以在使用自旋回波的T2WI、T1WI序列上表现为均匀等信号而酷似脑膜瘤,病灶周围流速相对较快的静脉血管则呈流空改变(绿箭-健侧、红箭-患侧)。FLAIR序列也是以自旋回波序列为基础的,所以信号也很均匀。增强之后,静脉瘤及周围的大脑上静脉分支因造影剂填充,弛豫速度加快,而呈均匀明显强化。


观察仔细的朋友可能会发现病灶周围有细小静脉伸入病灶内部,这种解释放到腹部肿瘤或许比较合理,但在颅骨下方的狭窄间隙内,笔者认为病灶与血管之间压迫、重叠似乎解释起来更合理一些(不对请指正),故不能作为排除静脉瘤的依据。


一个病例,让你深刻理解什么是异病同影

一个病例,让你深刻理解什么是异病同影


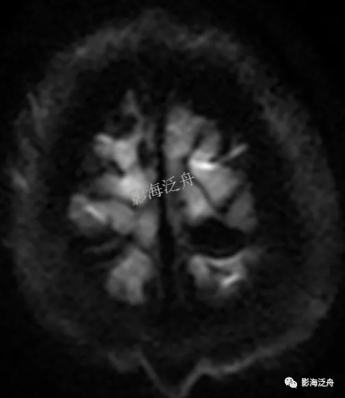
这个病例最大的疑点就在于上面两幅图,分别是高b值DWI和低b值DWI序列。为了搞明白DWI信号丢失的原因,我特意请教了philips的蒋强盛老师,在此对蒋老师表示感谢!


原因如下:


  • DWI序列采用EPI方式采集信号,由于只有一个回波链,因此被激发的质子群只要在被激发后的第一时间受到细微运动的干扰(如缓慢的静脉血流),其横向磁化矢量就会很快衰减,同时导致后面的信号全部缺失;

  • 病灶位于颅顶部,处于颅骨-血管-脑脊液/脑组织交界面区,不同组织间质子量差异很大而距离又比较近,就容易形成磁敏感伪影;

  • 静脉血流本身具有磁敏感差异;

  • 血液流动(但并非流空)。


一个病例,让你深刻理解什么是异病同影


为了加深印象,我找到了不同类型脑膜瘤的DWI表现:以周围脑实质作为参照,脑膜瘤在DWI上可以是高信号~等信号~低信号,这与病灶内部组织细胞的密集程度以及是否出血等因素相关。不难发现,除了出血,脑膜瘤在DWI上一般不会出现信号丢失;但即便有出血,信号也比较混杂,不会像本病例一样出现均匀一致的信号丢失。


最后再提一句脑膜瘤的鉴别诊断。对于直径在2cm左右的小类圆形脑膜瘤而言,鉴别诊断范围其实并不大,蝶骨嵴、鞍旁附近的脑膜瘤主要与神经源性肿瘤、脑外型海绵状血管瘤鉴别,其它部位的主要是和动脉瘤、静脉瘤相鉴别,因为无论是静脉瘤还是动脉瘤在CT平扫上均可呈稍高密度结节。至于黑色素瘤、转移瘤、血管外皮细胞瘤/SFT、淋巴瘤、浆细胞瘤等,要么病灶体积很大、要么呈楔形改变,很容易鉴别。


本文作者:七田小溪


本文来源:影海泛舟


原文链接:https://mp.weixin.qq.com/s/WO0LnPiPQzEdzZpqp3G_XA


【声明】本平台转载并注明其来源的稿件,是本着为读者传递更多信息的目的,不代表赞同其观点或立场,版权归原作者与原作者出处,如涉及侵权,请及时联系我方删除。