这5种腹膜后肿瘤的CT诊断,你确定都懂了吗?
究竟哪是腹膜后间隙?
腹膜后间隙(retropeitoneal space)是一个以腹后壁壁层腹膜(后腹膜)为前界,腹横筋膜为后界,上起横膈,下达盆腔的立体间隙。分为肾旁前间隙、肾周间隙和肾旁后间隙。
肾旁前间隙:是位于后腹膜与肾前筋膜、侧锥筋膜之间的区域;间隙内包括升、降结肠,十二指肠和胰腺。
肾周间隙:是位于肾前筋膜与肾后筋膜之间的区域,包括肾、肾上腺及其周围脂肪。
肾旁后间隙:是位于肾后筋膜、侧锥筋膜与腹横筋膜之间的区域,内部为脂肪组织,无脏器结构。


腹膜后分为肾旁前间隙(绿色)、肾周间隙(黄色)、肾旁后间隙(红色)
腹膜后有哪些肿瘤?
腹膜后肿瘤或肿瘤样改变主要有脂肪瘤与脂肪肉瘤、平滑肌肉瘤、畸胎瘤、神经鞘瘤与神经纤维瘤、副神经节瘤、恶性纤维组织细胞瘤、腹膜后囊肿、腹膜后纤维化、腹膜后淋巴瘤等9类。
脂肪瘤、畸胎瘤、神经纤维瘤、腹膜后囊肿、腹膜后纤维化几类疾病,因为在影像学表现上较为简单容易诊断,或其本身不属于肿瘤性疾病,大家已经多次学习,暂不讨论。主要介绍下面5类肿瘤性疾病。

5类肿瘤性疾病
腹膜后肿瘤主要在于定位、定性两方面。定位方面,腹膜后肿瘤大概位置,是否推移胰腺,病变与肝脏、胰腺间的脂肪间隙是否清晰,位于肾旁前间隙、肾周间隙和肾旁后间隙哪个位置。定性方面,通过肿物密度及强化是否均匀,与周围血管、周围脏器界限是否清晰,考虑良恶性。
1.副神经节瘤
副神经节瘤是起源于副神经节的非上皮性神经内分泌肿瘤,最常见部位为腹主动脉旁、肾门附近。副神经节瘤分非功能性和功能性,具有功能性的副神经节瘤分泌儿茶酚胺,导致阵发性或持续性高血压。副神经节瘤的免疫组化,神经元特异性烯醇化酶(NSE)、嗜铬粒素CgA,突触素(Syn)、S-100(支持细胞)多为阳性。
副神经节瘤的平扫表现,边缘较清楚,有明显包膜的混合密度肿块 ;副神经节瘤为富血供,增强扫描实性部分常呈中等至明显强化,中心部位常有囊变 。副神经节瘤多为良性,恶性发生率2.4%~14%。

副神经节瘤平扫及强化

肿瘤明显强化,常有囊性变
2.神经鞘瘤
神经鞘瘤起源于神经组织的sehwann细胞,肿瘤生长缓慢,起初一般无症状,多数患者在体检时无意发现。当肿瘤生长到一定程度压迫神经时,可出现相应症状。多位于脊柱前外方、骶前等神经组织丰富部位。纵径大于横径,范围一般在肾门水平上下。直径多在5cm以内,大的可达12cm,肿块密度不均匀,易囊变,多数实质性肿瘤或囊性肿瘤的实质部分密度低于肌肉,少部分肿瘤高于肌肉。
平扫,肿块密度多不均匀,增强扫描呈均匀或不均匀中等强化。也可出现不均匀的间隔样强化。有时呈现“靶征”,中心较边缘强化显著,具有特征性。周围有一层很完整的包膜。有时呈哑铃状向椎体或骨盆骨孔延伸生长而固定。恶性神经鞘瘤也是类似情况,唯包膜不完整。

起源骶孔、骨质膨胀性缺损,瘤内有囊变区
3.腹膜后淋巴瘤
腹膜后淋巴瘤多为非霍奇金淋巴瘤,早期侵犯腹膜后器官者较霍奇金淋巴瘤多见,且首先累及主动脉旁淋巴结,如腹主动脉旁淋巴结未被侵及,则肝、脾、肠系膜淋巴结和骨髓受侵犯的可能性低,反之亦然。另外,弥漫性与结节性非霍奇金淋巴瘤CT表现亦不同,前者仅25%累及腹主动脉旁淋巴结,后者则70%累及上述淋巴结。
全身多发淋巴结大,以纵隔及腹膜后多见,肿大淋巴结推移、包绕邻近血管,肿大淋巴结可越过中线,融合成团块,呈典型的血管淹没征,主动脉、腔静脉后脂肪间隙消失,周围组织、器官受压及转移征象,远离脊柱。此称为“主动脉漂浮征”。增强扫描后病灶多呈均匀强化,坏死、囊变及出血少见。

主动脉漂浮征
4.脂肪肉瘤
腹膜后恶性肿瘤中以脂肪肉瘤最多,由于腹膜后空间大,早期常没有症状,只有在肿瘤长到相当大并推压或侵犯周围脏器时,才出现相应的临床表现,脂肪肉瘤的临床表现主要为腹部包块和腹痛。高发年龄在40-70岁中老年人,男性多见。
根据脂肪细胞分化程度以及纤维和粘液组织成分多少分为三类
l以脂肪成分有多到少排列:脂肪肉瘤>粘液样脂肪肉瘤>混合型脂肪肉瘤;
l按分化由高到低排列:脂肪肉瘤>粘液样脂肪肉瘤>混合型脂肪肉瘤。
CT表现可呈囊样分隔状改变,边缘清楚,也可为可低密度团块,内部可有较厚的分隔;部分有脂肪密度或信号,轻度不均匀强化。分化程度影响CT表现,分化程度越差,越不均匀,边界越不清楚,强化越明显。

脂肪肉瘤

粘液样脂肪肉瘤

混合型脂肪肉瘤
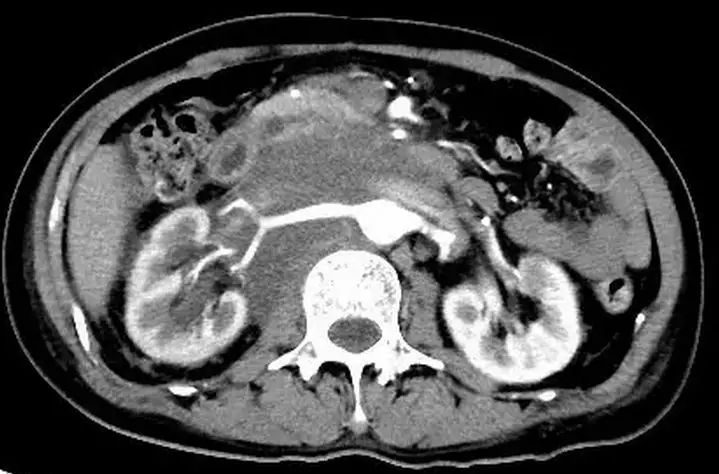
5.腹膜后平滑肌肉瘤
主要起源于腹膜后血管壁的平滑肌组织,胚胎残余平滑肌及腹膜后潜在间隙平滑肌等。以中老年人好发,2/3发生于女性,肿瘤生长迅速,70%首要症状为腹胀。
肿瘤生长方式有三种:
①完全长在血管外,最常见(62%);
②完全长在血管内,最少见(5% );
③同时长在血管内外 (33%)。
腹膜后平滑肌肉瘤常与主动脉及下腔静脉分界不清,容易侵犯腹膜后大血管,此征像较有特征。肿瘤单发多见,多发少见,体积一般较大,有包膜,形态一般呈椭圆形或分叶状,密度不均匀,肿瘤内坏死常见,出血及钙化少见,增强扫描一般呈轻度渐进性强化。肿块常与下腔静脉或其它大静脉分界不清。一般没有淋巴结转移。

增强扫描动脉期与增强扫描静脉期

冠状位与矢状位影像
从上面图像中可以看到腹膜后单发肿瘤,体积较大,边缘规则的软组织肿块,有包膜,内密度不均匀,多发低密度灶;增强扫描,不均匀轻中度强化,内有不强化中心坏死灶与囊变区,门脉期较动脉期强化明显。增强扫描呈轻度渐进性强化,没有明显钙化灶,周围无明显肿大淋巴结。病理证实为平滑肌肉瘤。
腹膜后常见肿瘤不止这5种,在此只是例举这几种,起到抛砖引玉的作用,希望能引起大家对腹膜后肿瘤的重视。
【本文来源】放射沙龙
【原文链接】https://mp.weixin.qq.com/s/jGjUVfSnLysZ8KF34AvARA
【声明】本平台转载并注明其来源的稿件,是本着为读者传递更多信息的目的,不代表赞同其观点或立场,版权归原作者与原作者出处,如涉及侵权,请及时联系我方删除。