chinese

一波三折的颅内病灶,诊断竟然是.......

在脑小血管病专业委员会第三届年会上,来自中国医学科学院北京协和医院神经科的韩菲博士带来了主题为《一波三折的颅内病灶》精彩讲座,一起来感受一下其中曲折吧,期望读者们遇到类似患者时,能及时判别,减少不必要的创伤。

 



第一次诊断:“胶质瘤”?



 


患者为46岁男性,以“头痛、反应迟钝1年余,左下肢力弱半月就诊于我院”,我们从头说起,先介绍外院就诊史。
 
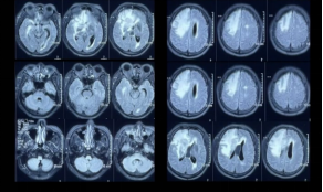
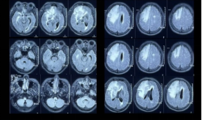
2019年11月,患者因“头痛,无发热、恶心、呕吐,2天好转,反应迟钝,驾车出错”就诊于外院,MRI示双侧大脑半球多发异常信号,右额病灶有占位效应,周围大片水肿(图1),右额病灶环形强化&结节样强化,DWI弥散受限(图2),同期头颅CT示脑实质内散在点状钙化(图3)
 
01.png


图1:双侧大脑半球多发异常信号,右额病灶有占位效应,周围大片水肿

 02.png

图2:右额病灶环形强化&结节样强化,DWI弥散受限

03.png

图3:脑实质内散在点状钙化


 
2019年12月,外院医师因其影像示环形强化占位效应明显,考虑“胶质瘤”,甘露醇脱水降压的同时行开颅右额占位切除术
 
你以为到这就结束了吗?


 



术后病理结果出乎意料……






镜下病理:局部白质水肿,局部脑实质大片坏死灶性钙化;坏死区域内多量小血管玻璃样变性管腔狭窄闭塞部分血管纤维素性血栓形成;病灶旁血管周围淋巴细胞浸润,“淋巴套袖”形成,可见反应性星形细胞增生及多量吞噬细胞浸润。
 
病理诊断:特殊类型的小血管病变可能,血管炎不能除外
 
排除颅内肿瘤后,据医嘱对患者继续随访观察,接下来的半年时间里,患者症状稳定,可以胜任日常的工作与生活。
 
术后半年,2020年5年常规复查头MRI示左额皮层下白质新发片状Flair高信号(图4),临床表现稳定,继续随诊。
 04.png
图4:左额皮层下白质新发片状Flair高信号
 
又过了半年,在2020年11月,患者日间睡眠增多,MRI发现左侧额叶,环形强化、占位效应、弥散受限(图5),与2019年11月的结果有着惊人的相似,依然是额叶病灶,只是由一年前的右侧变为了左侧……
05.png
图5:左侧额叶,环形强化、占位效应、弥散受限
 
由于出现新发活跃病灶,患者在外院完善了其他检查。
 
常规检查:血/尿常规、肝功正常;肾功Cr 145umol/L
免疫指标:ESR.、hsCRP正常;ANA. ENA. ANCA阴性。
腰穿:颅压1 60mmH2OWBC 23, Pro 1.2g/L, GluCI正常;自免脑抗体,AQP4/MOG-Ab (-);病原二代测序(-)。
全身肿瘤筛查:PET-CT无全身肿瘤提示。
大血管:头MRA、颈动脉超声正常。




结合小血管异常、炎细胞浸润,外院医师考虑“血管炎”,给予激素甲强龙1gx3d→0.5gx9d→强的松60mg。
 
这回应该结束了吧?不,还没有!


 



病情持续进展,始入我院






然而,大强度治疗并未阻止患者的病情进展,3个月后……2021年2月,患者出现左下肢力弱,3月就诊于我院。大家还记得此前的外院就诊概括吗(图6) 
 06.png
图6:外院就诊概括
 
▌ 相关病史:

无视力下降,无发热、皮疹、关节痛、口腔或外阴溃疡、雷诺现象。

既往史:高血压4年,血压最高180/105mmHg,服药;有吸烟、饮酒史。

家族史:母亲40余岁去世(病因不详), 父亲84岁因脑梗去世,一哥哥40岁时不明原因猝死,另一哥哥40余岁时坠楼(抑郁),一姐姐体健。
 
▌ 入院查体:

BP 153/100mmHg,HR 76bpm,律齐,一般情况良好,内科查体无特殊;神清,语利,对答切题,定向力、计算力正常,延迟记忆稍差。

颅神经:粗测视力、视野正常,余颅神经未见明显异常。

运动:左下肢肌力V-级,余肢体肌力V级;左侧腱反射较右侧活跃;双侧Babinski征、Chaddock征(+)

感觉、共济查体无异常,脑膜刺激征(-)
 
查头颅核磁,发现在激素冲击治疗后,病灶持续进展,不仅临床表现上新出现左下肢力弱,MRI上也出现双额叶白质多发环形强化病灶。
 
事到如今,总结一下目前的病例特点:


  • 中年男性,隐袭起病,缓慢进展加重,总病程1年余。

  • 临床表现:反应慢,左下肢力弱;激素治疗无明显效果。

  • 既往史:高血压;肾功能不全。

  • 家族史:多人40岁后不明原因去世。




定位、定性诊断终于找到方向…...






▌ 定位诊断

结合患者临床症状和体征,考虑患者存在皮层和皮质下白质纤维双侧锥体束受累。


  • 反应迟钝,记忆力下降——皮层和皮质下白质纤维。

  • 左下肢力弱,左侧腱R活跃,双病理征(+)——锥体束。



影像特点总结


  • 影像表现重于临床表现。

  • 病灶分布:幕上白质,额叶为著,一侧向对侧进展。

  • 占位效应,水肿,环形、结节样强化。

  • 与强化对应的部位DWI弥散受限。

  • 头CT:点状钙化(非基底节区等生理性钙化好发部位)。



▌ 定性诊断
 
基于上述影像学特征的颅内多发病灶,鉴别诊断主要考虑:1.颅内肿瘤;2.特殊感染;3.脱鞘假瘤;4.血管炎。但是,病理无证据,不支持颅内肿瘤的诊断;腰穿无证据,不支持特殊感染的诊断;激素无效不支持脱鞘假瘤的诊断。
 
患者的脑病理实际上有三个核心症状:1.脑实质大片坏死;2.坏死区域内小血管病变、狭窄;3.病灶旁周围淋巴细胞浸润。基于此,我们需要考虑血管炎特殊类型的脑小血管病的诊断可能。
 
关于血管炎,首先没有全身性血管炎的证据;而原发中枢系统血管炎,患者临床表现过于逍遥,和影像学表现不匹配,且激素冲击治疗无明显疗效。此外,血管炎核心病理为血管透壁损害和管壁炎性反应,而患者是周围炎症,因此中枢神经系统血管炎诊断证据不充分。
 
再来回顾一下患者的家族史,虽然患者家属资料及影像学资料无法获得,但有三位家属在40岁左右去世,患者也于45岁发病,这个家族似乎陷入了“40岁”的魔咒,基于这样的阳性家族史病理上突出的小血管受累,需要重点考虑遗传性脑小血管病

07.png
图7:家族史
 

常见的遗传性脑小血管病有哪些?






常见的遗传性脑小血管病总结如下:

表1:常见的遗传性脑小血管病 

08.png

*RVCL-S:视网膜血管病变伴白质脑病和全身表现
 
首先,患者的影像学表现和CADASIL的影像学特征是不符合的,而患者也没有反复卒中,考虑诊断为COL4A1的可能性不大,与法布里病的核心特征也不相合。
 
随后完善患者眼科检查基因检测,虽然患者否认眼睛视力下降的主诉,但是眼底荧光显示双眼眼底可见散在视网膜内微血管异常,动静脉短路,小片无灌注区。基因检测方面,全外显子测序,显示患者存在TREX1基因杂合突变,导致第235位氨基酸由甘氨酸突变为酰胺酸,翻译终止,这是HGMDpro基因数据库记录的明确致病突变。
 
至此,患者的诊断终于真相大白,确诊为“RVCL-S”。


 



什么是RVCL-S?






RVCL-S全称为Retinal vasculopathy with cerebral leukoencephalopathy and systemic manifestations,中文名为视网膜血管病变伴白质脑病和全身表现。这是一个单基因遗传性小血管病,常染色体显性遗传,目前仅报道25个家系,起病年龄在35-50岁,临床表现主要为视力下降、认知减退、神经系统局灶症状,此外,该病被认为是多系统受累的全身性脑小血管病(Systemic small vessel disease)
 
TREX1基因突变导致发病,该基因位于3号染色体p21.31;TREX1基因编码DNA外切酶,正常情况下分布于核周;该基因C'端移码突变,提前终止翻译,酶活性尚保留,TREX1蛋白在细胞内移位,微血管内皮功能障碍。

微信图片_20210714162817.png
图8:TREX1基因突变
 

且该基因突变,不仅可导致RVCL,TREX1突变导致的酶活性丧失时,与Aicardi-Goutieres 综合征及冻疮样狼疮、SLE等自身免疫病相关。提示TREX1基因与自身免疫(immunity)有一定的相关性。RVCL-S虽不是一种自身免疫病,但免疫因素可能参与发病。与CADASIL的血管平滑肌细胞功能障碍不同,RVCL-S主要是血管内皮功能障碍,血管基底膜受损,导致微血管内血流减少至消失。


 

RVCL-S的诊断线索有哪些?





▌ 脑部表现
 
发病初期容易被误诊为mimic肿瘤、炎性假瘤等,影像学改变如下:


  • CT:50%患者存在局灶钙化。

  • MRI:①额叶、额顶交界区大片白质异常信号;占位效应,周边水肿;84%患者存在环形强化;②侧脑室旁小灶性白质高信号,且环形强化病灶随时间推移可逐渐消退,血脑屏障(BBB)破坏可持续9-20个月不等,强化病灶的核心,DWI表现为弥散受限,ADC星低信号,平均可持续4.5月。


▌ 眼底表现(84%)


  • 早期:毛细血管扩张,微动脉瘤,棉絮斑。

  • 后期:毛细血管增生,新生血管生成。


09.png
图9:眼底影像学表现

全身表现为组织器官的小血管异常,包括肾病如蛋白尿、轻中度肾功能不全(49%)、肝病如转氨酶升高(70%)血压升高(58%)、消化道出血(22%)、雷诺现象(42%)、偏头痛(53%)等。





RVCL-S的病理学表现





▌ 脑病理

大体:侧脑室旁白质受累突出,特别是额顶交界区,灰质一般不受累。

光镜:融合成片的白质缺血坏死,其中可伴随局灶钙化,反应性星胶增生;血管病变中如小血管管壁增厚、纤维素样坏死、玻璃样变、管腔狭窄;部分存在缺血坏死附近慢性炎性细胞浸润(血管周围、脑实质)且与血管炎不同,RVCL-S的炎性细胞浸润为对缺血坏死脑组织的继发反应性改变,而非对血管管壁的直接破坏。

电镜:血管壁基底膜不规则增厚、断裂,中膜平滑肌细胞及周细胞退变。
 
▌ 其他器官病理


  • 肾脏:小动脉硬化、肾小球硬化。

  • 视网膜:散在微梗死;视网膜动脉管壁增厚、玻璃样变。


010.png
图10:病理表现
 

RVCL-S的治疗




  • 尚无有效治疗方法,对症为主。

  • 无证据提示抗血小板治疗可获益。

  • 糖皮质激素仅可短期减轻血管源性水肿,免疫抑制治疗的有效性不明确。

  • 预后差,生存期5-10年。





哪些患者需要考虑到RVCL-S?



 


当一个患者有典型的视网膜血管病、头部特征性影像、阳性家族史,需要想到RVCL-S,此外,CT可见钙化、MRI上与年龄不符的灶性白质病变、多系统受累,支持RVCL-S的诊断,依靠TREX1基因突变可进行确诊。
 

感悟



 

  • 不是所有的水肿和环形强化都是肿瘤,小血管病也可以。

  • 临床注重家族史和多系统受累的特征性改变,为早期识别和诊断提供线索。

  • 提高对该病的认识,可避免不必要的脑活检或病灶切除手术给病人所带来的创伤。



同时,韩菲博士提出了一些疑问,RVCL-S作为一种小血管病,为何却表现为占位,肿瘤mimic?其他小血管病为何不这样?背后机制是怎样的?欢迎评论区留言解答。




本文来源:放射沙龙


原文链接:https://mp.weixin.qq.com/s/8XI-2f24sFVRCDMaO0gg4g


【声明】本平台转载并注明其来源的稿件,是本着为读者传递更多信息的目的,不代表赞同其观点或立场,版权归原作者与原作者出处,如涉及侵权,请及时联系我方删除。