chinese

造影剂外渗?一定不能头脑发懵

从一个CASE谈谈今天这个话题吧。


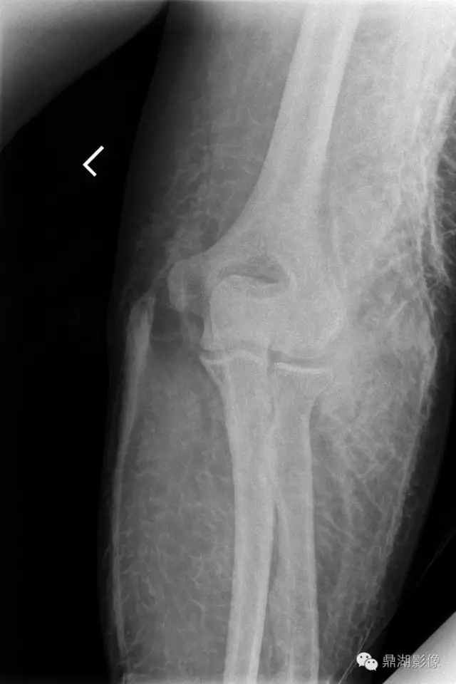
· 患者,男,35

· CT增强扫描后肘部疼痛


造影剂外渗?一定不能头脑发懵

造影剂外渗?一定不能头脑发懵

造影剂外渗?一定不能头脑发懵

造影剂外渗?一定不能头脑发懵

造影剂外渗?一定不能头脑发懵

造影剂外渗?一定不能头脑发懵


我想学影像的,不看片子都知道出问题了吧?但是看了片子才发现,这么严重。


什么是造影剂外渗?


造影剂进入非血管组织,包括血管周围间隙、皮下组织、皮内组织等情况又称碘外渗或碘外溢,这是CT增强扫描的常见并发症。随着高压注射装置进入临床,这种并发症更加常见且严重,因为高压注射可以短时间内大量注射对比剂。一旦外渗,面积较大。


造影剂外渗的原因:

1、静脉针未穿刺到静脉内

2、静脉穿刺针头刺破血管

3、静脉穿刺针头脱出血管

4、高压注射下的针头弹跳

5、高压注射下的穿刺口返流

6、静脉血管通透性增加

7、静脉硬化等病变


造影剂外渗的后果:

1、疼痛

2、注射部位肿胀,范围可波及整个肢体肿胀出现的时间大部分在注射当时发生,少数在注射后2~6小时后发生

3、皮肤坏死


造影剂外渗的紧急处理:

1、立即停止注射并拔针,拔针前尽量回吸外渗液,用消毒棉签按压穿刺部位,避免血液外渗加重局部肿胀;

2、局部封闭:一旦出现造影剂渗漏,立即进行封闭治疗,这样可减轻疼痛及造影剂引起肢体水肿范围的扩大。封闭治疗药物及方法:2%利多卡因5ml+地塞咪松5mg,从水肿部位的近心侧向远侧做环形皮下封闭。

3、50%硫酸镁外敷:将纱布浸透50%硫酸镁,再覆盖在肿胀部位及其上下10cm范围的肢体部分。硫酸镁为高渗物质,可吸收水分 。

4、冰敷:将碎冰装在塑料袋内,包裹肿胀的肢体,要求超过注射部位的上下关节,冰敷时间不少于2小时;如果患者感觉寒冷难受,可先在肢体表面盖上毛巾,再敷冰,也可以冰敷一定时间时移开一段时间,在寒冷季节及年老体弱、感觉减退的患者尤应注意,以免长时间冰敷而造成冻伤。

5、皮肤水疱的处理:避免水泡破裂,如果水疱巨大,可用注射器抽干水疱液体。


造影剂外渗紧急处理的预后:

1、在局部封闭治疗后,疼痛可立即消除

2、少量外渗的病人,经处理,局部肿胀可在1 ~ 2小时内消散

3、外渗较多的病人经处理后在24~48小时内完全消散


造影剂外渗皮肤坏死的处理需烧伤科植皮治疗。


再给大家看一个病例:

50岁,女;非小细胞肺癌( IIB );

CT增强扫描为观察是否复发或转移,注射造影剂时,发生造影剂外渗,约100ml。


造影剂外渗?一定不能头脑发懵

造影剂外渗?一定不能头脑发懵

造影剂外渗?一定不能头脑发懵


为了避免造影剂外渗,应做好造影前的准备工作,穿刺血管的选择,一般选用粗、直、有弹性的表浅静脉,穿刺部位易于固定,尽量避开关节、静脉血管分叉处,一般常用手背静脉、前臂浅静脉和肘正中静脉等部位。在穿刺时力争“一针见血”,避免在同一部位反复穿刺。穿刺部位应用宽2.5cm的医用透明胶带以针板为中心粘贴,然后再固定软管,最后固定针翼,以防止加压注射时针翼摆动。根据我们的工作经验,穿刺最好用大号“Y”型留置针,及减少造影剂外渗发生几率,同时也便于紧急情况下对病人的急救处理。在扫描前注射造影剂时,我们的护士和医生最好在病人旁观察情况,预注3毫升,观察时将食指轻放在患者注射部位,注射部位无肿胀并能感觉到液体的流动,确认液体流入血管,可在曝光前离开扫描间。


另外,CT高压注射器注药速度快,对血管壁的冲击力大也是造成造影剂外渗的主要原因,对高危人群如长期化疗、老年血管硬化、肥胖等患者进行增强扫描时,应放慢注射速度,注射间密切观察病人多询问有何不适现象。


总之发生问题一定要沉着应对,加强培训,以免在意外情况下头脑发懵,引起十分恶劣的后果。



本文来源:放射沙龙


原文链接:https://www.toutiao.com/i6945271787047502372/?tt_from=weixin&utm_campaign=client_share&wxshare_count=1&timestamp=1617328009&app=news_article&utm_source=weixin&utm_medium=toutiao_ios&use_new_style=1&req_id=2021040209464801013516004458206050&share_token=4D2C9C21-85AB-4BE7-9615-8B3D9DB4CFE4&group_id=6945271787047502372


【声明】本平台转载并注明其来源的稿件,是本着为读者传递更多信息的目的,不代表赞同其观点或立场,版权归原作者与原作者出处,如涉及侵权,请及时联系我方删除。